The image shows a colorful mosaic wall with geometric shapes and a blue background, featuring an abstract design.

Smile Gallery

DENTURES

The image features a man with a mustache, smiling at the camera. He has short hair and is wearing a brown jacket over a white shirt.

BEFORE

The image shows a man with a mustache, smiling and looking directly at the camera. He has a bald head and is wearing a dark-colored jacket.

AFTER

The image shows a man smiling and posing for the photo.

FRONTAL SMILE



The image shows a man with a beard and a mustache, wearing a gray shirt, looking directly at the camera.

BEFORE

The image shows a man with a beard and mustache, smiling slightly, against a neutral background.

AFTER

The image shows a man with a beard and mustache, smiling at the camera. He has short hair and appears to be indoors with a plain background.

FRONTAL SMILE



The image is a close-up photograph of an adult woman with her head turned to the side. She has short hair, wears makeup including lipstick and eyeliner, and has a visible earring. Her facial expression appears neutral, and she is looking away from the camera with a slight smile.

BEFORE

The image shows a woman with her hair pulled back into a ponytail, wearing makeup and a necklace. She has a smile on her face and is looking directly at the camera.

AFTER

A smiling woman with long hair, wearing a pink top and large hoop earrings.

FRONTAL SMILE


The image shows a close-up of a person s teeth and mouth, with the individual wearing braces.

AFTER


DENTAL CROWNS

An elderly woman with short hair and a slight smile, wearing a white top.
A smiling woman with short hair, wearing a white top and a jacket with a fur-lined collar.
The image displays a collage of three photos featuring a person s teeth transformation. The top photo shows yellowed teeth, the middle photo depicts a smile with white fillings and teeth whitening, and the bottom photo features a close-up of a clean, white smile.
The image shows a side-by-side comparison of two dental implants with different levels of staining, highlighting the effectiveness of teeth whitening treatments.
Before and after dental treatment comparison, showing a dramatic improvement in teeth whiteness.
The image shows a close-up of two dental implants with visible gum tissue, one on the left and one on the right, against a black background.
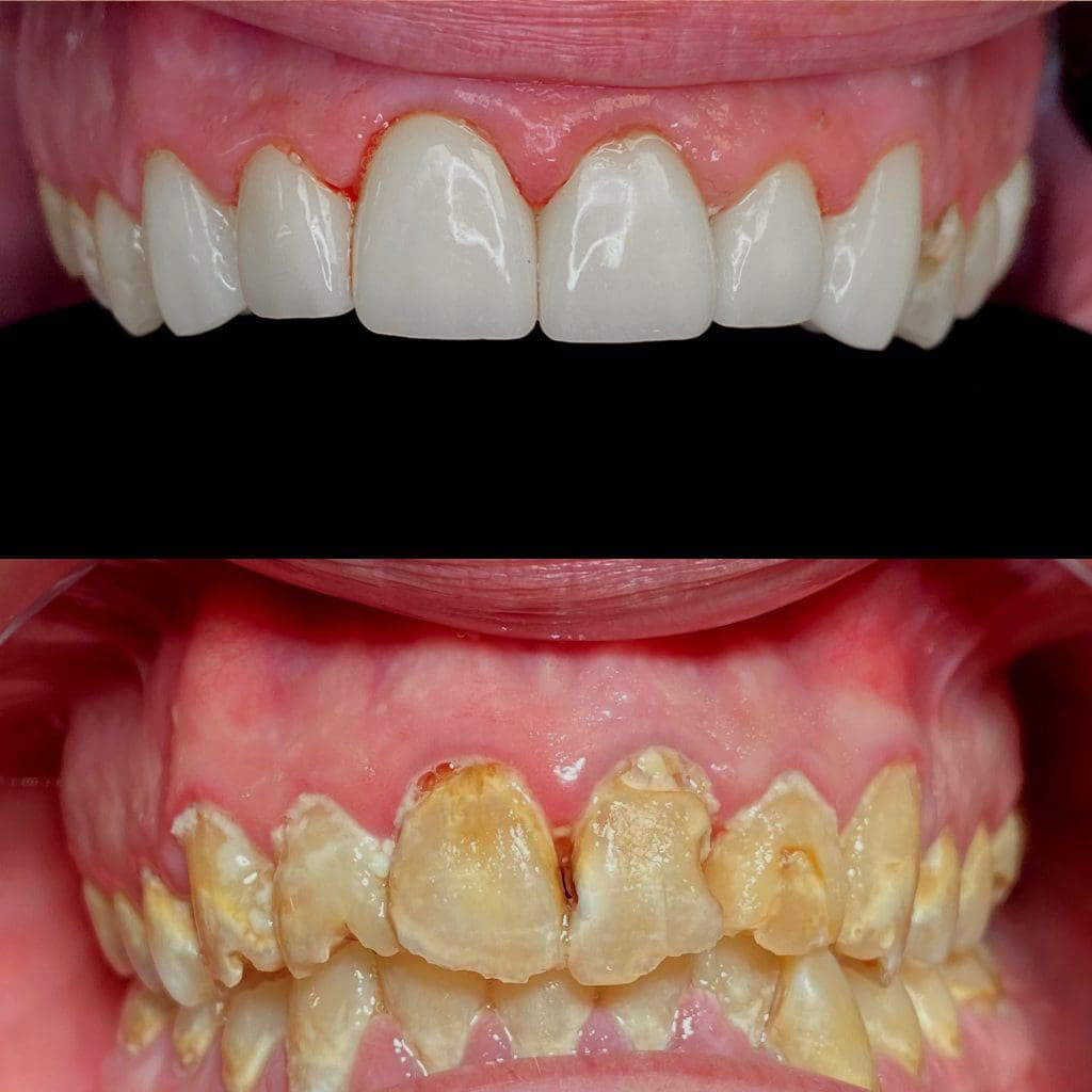
The image displays a side-by-side comparison of dental treatments, with one half showing a mouth with visible stains and discoloration, and the other half displaying a cleaner, brighter smile after what appears to be professional teeth whitening.
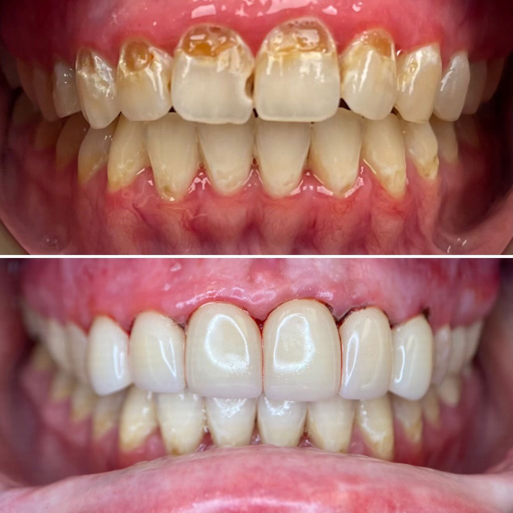
The image displays a side-by-side comparison of two sets of teeth, one showing a yellowed and discolored appearance and the other displaying a clean, white smile after dental treatment.
The image displays a side-by-side comparison of two sets of teeth, with the left side showing a set of yellowed teeth and the right side showing a set of clean, white teeth.
Schedule a visit today!
Contact Us
Submit

Thank You!

We appreciate you taking the time to visit our site. We'll review your message and be in touch with you soon.

Continue
The image shows a person using a laptop with their hands on the keyboard, while simultaneously holding and looking at a smartphone.